这种病无法治愈,但这位医生相信他找到了治疗慢性疲劳的方法
发财人
2025-01-14 18:31:37
0

伦敦:1989年,一位患有肌痛性脑脊髓炎(ME)的病人来找雷蒙德·佩兰医生,他是一名整骨医生。这名男子有姿势问题,但当佩兰用整骨疗法治疗他时,发生了其他事情。他的ME好转了。

它为如何治疗ME(也称为慢性疲劳综合征)以及COVID - 19的新理论播下了种子,这将使他与医疗机构发生冲突。



Dr Raymond Perrin hypothesises that chro<em></em>nic fatigue syndrome is caused by a compromised lymphatic system.

注册整骨医生和神经科学家假设ME是由淋巴系统受损引起的。他认为,由自主神经系统控制的淋巴管排错了路,把毒素推回了大脑。

他的理论有个大问题。在那个时候,没有证据表明大脑中存在淋巴系统,更不用说它的排水问题了。血脑屏障被认为可以阻止所有大分子进入大脑。佩兰的理论公然违抗公认的科学。

2005年,他没有气馁,在他的博士论文中发表了他的理论。他还继续用手工手法治疗他的病人,发展了佩兰手法。他的假设是,它将更大的毒素输送到位于锁骨下方的主要排泄点,进入血液。

尽管缺乏临床研究,但ME/CFS患者报告了治疗后的改善。2010年,在ME协会的一项患者调查中,根据患者的偏好,它被评为前25名治疗方法中的第三名。第一是节奏(平衡活动和休息以避免疲劳)。第二个是休息和放松。



Lymphatic drainage massage techniques help eliminate toxins from the body.

然而,主流医学仍持怀疑态度。

2012年,美国罗彻斯特大学(Rochester University)的一项突破性研究表明,使用一种新型脑部扫描技术,大脑确实会向淋巴管输送血液。然后在2015年,弗吉尼亚大学的一个研究小组在老鼠的大脑中发现了淋巴管。

“这么多年过去了,我的理论基础得到了科学发现的支持,尽管是在啮齿动物身上,”这位64岁的科学家告诉我。

最后,在今年10月,一项针对5名接受手术的志愿者的研究证实,大脑中存在一个被称为淋巴系统的隧道网络,可以帮助排出大脑中的废物。



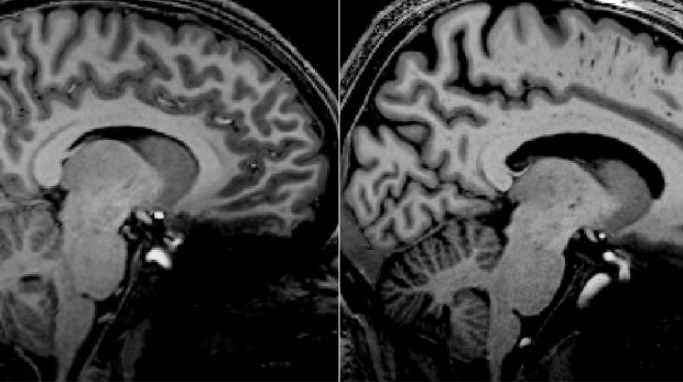
Detailed scans of a long-COVID patient (left) and an ME/CFS patient (right) show similar structures in the brain stem.

佩兰说:“我们现在知道,大脑有7个薄弱环节允许大分子进入,因此大的毒素可以进入,所以我们需要淋巴管将这些大分子排出。”

ME和慢性疲劳的病因仍然是一个有争议的话题。

27岁的梅芙·布斯比·奥尼尔(Maeve Boothby-O 'Neill)患有严重的慢性疲劳综合症长达十年,直到2021年10月在家中去世。她的病例表明,曾经被广泛称为“雅皮士流感”的疾病仍然被医疗专业人士知之甚少。

这种情况被认为是由病毒引发的。佩兰认为情况并非总是如此。虽然Perrin同意病毒可以引发交感神经系统的紊乱,从而导致整体身体功能的不平衡,但他说,细菌感染、情绪压力以及大脑或脊柱的创伤也可以。

佩兰的许多病人都患有姿势问题,或者是那些把身体置于巨大压力下的运动员。最明显的是足球运动员头球。

“肌肉疲劳等常见症状是由于乳酸没有被排出。脑雾是由大脑中影响神经网络的毒性引起的,”佩兰说。

在他的新书《镜花水月》(Through the Looking Glass)中,他解释了COVID是由炎症和淋巴引流障碍引起的。

他说:“COVID可能是在大脑中产生过多炎症的最终触发因素,因为一开始引流系统就不能正常工作。”



Despite the lack of clinical studies, ME/CFS patients reported improvement with the treatment.

为了帮助这种功能障碍,Perrin技术涉及手动技术,刺激淋巴并将其向下或向上排至锁骨。

“最终,随着侵入大脑的毒素减少,下丘脑开始正常工作。这可以调节自主神经系统和淋巴系统,从而恢复健康,”佩兰说。

该技术关注的主要区域之一是鼻子周围。筛板是一个穿孔的骨头,将鼻腔与颅腔隔开。它是脑脊液引流的关键部位,已被证明可将50%的淋巴液排入颈部。

佩兰的网站上不仅有训练有素的整骨治疗师,还提供自我按摩程序。对于一些人来说,手工技术可以缓解所有症状,而另一些人则需要定期治疗。

贝蒂·罗斯是英国播音员乔纳森·罗斯的女儿,她因肌痛和纤维肌痛症卧床两年,是佩兰疗法引人注目的成功案例。

佩兰表示,女性更容易受到ME/CFS和COVID - 19的影响,原因有三个:荷尔蒙系统的母体下丘脑受到影响,女性的荷尔蒙比男性更容易变化;女性体内的瘦素水平较高,会引发大量炎症细胞因子,导致更多的炎症;如果从锁骨附近有回流的引流,第一个停靠点是乳房组织,而女性的乳房组织较多,这会导致更多的毒性充血。

佩兰并非没有批评者,ME协会不推荐佩兰技术,尽管它的患者调查结果。

“由于缺乏任何可靠的科学证据来支持这种替代疗法所基于的因果关系模型,并且缺乏任何可靠的临床试验证据来证实使用整骨疗法和淋巴引流从体内清除毒素的安全性和有效性,因此这不是ME/CFS协会或Nice关于ME/CFS指南推荐的ME/CFS替代治疗形式,”它指出。

当被问及对他的技术的怀疑时,佩兰认为这是因为人们想找到一种有效的药物,而不是手工技术,“尽管手工技术是囊性纤维化患者赖以生存的(为了放松粘液)。”

阿德里安·希尔德博士是索尔福德皇家医院糖尿病和内分泌学的顾问医师,也是曼彻斯特大学的研究员,参与了慢性疲劳和长期COVID的评估和治疗。他也见过许多使用Perrin技术治疗ME/CFS的患者。

他说:“有趣的是,我们已经看到在Perrin医生那里治疗非常难以治疗的慢性疲劳/ME患者身上取得了积极的结果。”

希尔德的研究小组最近提交了一项可行性研究的结果,该研究由英国国家卫生服务机构资助,在该研究中,对佩林技术进行了改造,用于家庭自助治疗。干预的结果是积极的。

希尔德说:“我们不能说它肯定有效,因为这不是一个完全随机对照试验,但结果是令人鼓舞的。”

该研究现已提交同行评审。

希尔德认为这是一个值得探索的研究方向。

“慢性疲劳是一种极其复杂和难以治疗的疾病。它在不同的人身上表现出不同的方式。但对我来说,最重要的是,任何作为一种方法具有潜在有效性的技术都需要以正式的方式加以审视。”

毫无疑问,我们对淋巴系统的理解需要进一步的研究。淋巴系统已经为阿尔茨海默氏症等脑部疾病提供了新的视角。

希尔德说:“我们正在越来越多地了解佩林技术所依据的生理学。”“科学正在慢慢赶上佩兰博士多年来一直提出的技术。”

尽管如此,佩兰本人强调,他的技术并不是治愈方法,但应该作为应对长期COVID的拼图方法的一部分。从角落开始:休息、放松、冥想和踱步。

拼图的边缘部分是佩兰技术本身:“让神经淋巴系统更好地工作对其他一切都至关重要,”他说。

中间是营养补充剂和饮食。

“有些人是20块拼图,有些人是数千块,”他说。“我们不能治愈所有人,但我们让很多人保持健康。”

四种佩林手法自我按摩练习

1. 把肘部放在桌子上坐着,用每根食指轻轻地按压鼻梁两侧。在头10天里,用这种方法按压7分钟。之后,每天坚持一分钟。

2. 将一只手的手指在脸上摊开,就像试图跨越你的前额。慢慢地用你的指尖从你的脸到你的下巴。划20秒,大约每4秒向下划一次。

3. 用双手放在头部两侧,轻轻地向下抚摸下巴。划20秒,每划4秒。从头顶到颈部重复上述动作。

4. 仰卧,用一种油,从脖子上方,耳朵下方,用指尖向下按摩锁骨。每边各做20秒。

《电讯报》,伦敦

相关内容

热门资讯

玩家实测“微乐麻将原来有挂”的... 您好:微乐麻将这款游戏可以开挂,确实是有挂的,很多玩家在微乐麻将这款游戏中打牌都会发现很多用户的牌特...
美国纽约惩教官员不顾工会领导人... #纽约惩教官员呼吁罢工狱警接受协议重返岗位纽约州惩教官员恳请罢工的狱警不顾工会领导人的反对,抓住最后...
为什么汽车制造商对关税的短暂缓... 特朗普总统暂时放宽了对从墨西哥和加拿大进口货物征收的严苛关税,然而这一举动不太可能让美国汽车制造商有...
韩国战机意外投掷炸弹,造成 8... 韩国首尔(美联社)消息——官员们称,周四在与美国军方的联合实弹演习中,两架韩国战斗机意外向平民区投下...
日本最高法院维持东京电力公司前... 日本最高法院裁定,两名前公司高管在2011年福岛第一核电站灾难以及随后数十名老年居民在被迫疏散期间死...
前纽约警探因向 FBI 撒谎以... 周三,一名前警探因向联邦调查局(FBI)撒谎,以保护一个黑手党家族在纽约市郊区的非法赌博活动而被定罪...
德国致命汽车撞击案的嫌疑人没有... 在德国曼海姆市发生的一起汽车撞击事件导致两人死亡。案件嫌疑人在出现在法官面前时未透露其动机,法官下令...
泽连斯基称椭圆形办公室与特朗普... 随着基辅与华盛顿之间的裂痕日益加深,乌克兰人在周二对美国决定暂停至关重要的军事援助一事,表现出了震惊...
五角大楼提名人在参议院听证会上... 特朗普总统在周二的确认听证会上,在来自两党参议员的持续质疑后,承认俄罗斯入侵了乌克兰,且这对美国和欧...
特朗普特使称,在美国暂停援助和... 一名高级政府官员周四表示,在唐纳德・特朗普总统本周下令暂停美国对基辅的军事援助及情报共享之前,白宫已...